Create Your First Project
Start adding your projects to your portfolio. Click on "Manage Projects" to get started
Complex Anterior Implant Rehabilitation in a Patient With Long-Standing front Teeth Loss
Project type
Prosthetically Driven Implant Placement (Reflective Case)
Date
2020
Location
London
Anterior Upper Implant Rehabilitation After Long-Term Tooth Loss
Clinician: Dr Una Mujadzic
Case Overview
This patient, a woman in her late 50s, presented with long-standing absence of both upper front teeth (maxillary central and lateral incisors), which she had lost at around 10 years of age. For many years, she relied on a one tooth removable denture, which she found uncomfortable, unstable, and aesthetically limiting.
Her main goal was to replace the removable appliance with a fixed, natural-looking solution that would restore confidence, function, and everyday comfort.
Treatment Planning
A full clinical and radiographic assessment was carried out to evaluate bone volume and soft-tissue conditions following decades of tooth loss. Treatment planning focused on a prosthetically driven implant approach, ensuring optimal implant positioning for long-term stability and aesthetics.
Clear communication was central to this case. The proposed tooth shapes and spacing were carefully discussed with the patient, including preservation of a small natural gap to maintain harmony with her existing smile.
Implant Placement
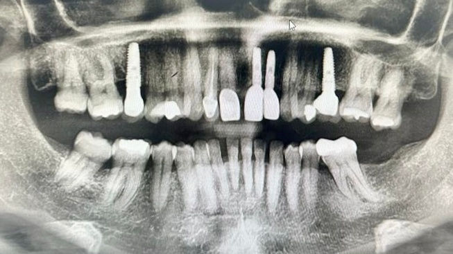
Two dental implants were placed in the anterior maxilla and two in posterior maxilla non guided but prosthetically driven and pre-operative smile designed.using precise three-dimensional positioning. Implant angulation, depth, and spacing were carefully planned to support the final restorations and ensure predictable outcomes.
Temporary restorations were provided during the healing phase to maintain appearance, speech, and patient comfort, allowing the patient to function confidently without a removable denture during osseointegration.
Final Outcome
Following successful healing, implant-supported crowns were fitted to restore the upper front teeth. Radiographic review confirmed correct implant positioning and integration.
Although this case was completed prior to my advanced training in soft-tissue management around dental implants, the result achieved excellent function and aesthetics. The patient declined additional soft-tissue refinement due to personal and financial considerations.
At long-term review, the patient remained extremely satisfied, having finally achieved a stable, fixed solution after decades of managing a removable denture.

















